054-369-1100
診療案内

『歯医者は嫌い!行きたくない!』

そう思われないように、松下歯科では小さなお子様から、治療が困難な障害を持った方、歯科治療に恐怖心をお持ちの方まで、痛みも苦痛もない快適な歯科治療を行っております。
診療種類
歯科治療機器

一般歯科

虫歯の治療や歯周病の治療など、一般的な歯の治療をします。
虫歯をとって詰める、神経の治療をするなどといった一般歯科は、主に健康保険で安くなります。
中には保険適用外の治療もありますので気を付けてくださいね。
虫歯予防のために定期的なお掃除もお勧めしています。
一般歯科で容易られる治療台

小児歯科

普通の歯医者さんでは、小さいお子さんは「動いて危ないので、治療できません!」と言われることもありますが、小児歯科では、泣いても、動いても、きちんとした歯科治療、歯の治療を提供することができます。また、子供の虫歯を治すだけではありません。虫歯予防に努め、最終的にはきれいな永久歯を正しい位置に生やし、健康的なお口の状態に育てることを目標にしています。
小児歯科では健康なお口に育てることが目標です

審美歯科

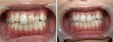
以前神経を取った歯、昔治療して色が汚くなってしまった、矯正するほどではないけれども歯並びが気になるなど、最近は歯科治療も審美的な要素が多くなってきています。当医院では、従来から行っているセラミック(金属に陶材を焼き付けたメタルボンドクラウン)に加え、全てがセラミックでできている被せ物を使用しています。特徴は何といっても天然の歯に近い透明感とすべすべとした舌感、タバコなどの汚れがつき難いので歯周病にも予防効果があります。
審美歯科の治療例